Dental Implants & Smile Restoration in Citrus Heights, CA 95610
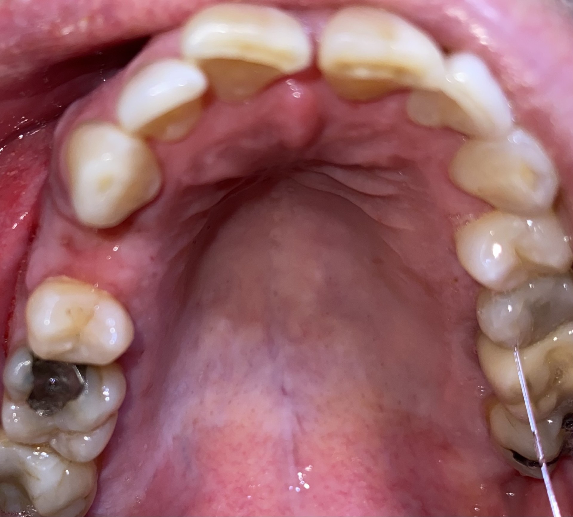
Aura Dental Care has served the Citrus Heights and greater Sacramento area since 2012 as a trusted dental provider specializing in implant-based smile restoration. This gallery represents a sample of the clinical cases our team has documented — including All-on-4 full-arch restorations, fixed implant-supported dentures, and single or multiple dental implant placements. If you are researching implant options for yourself or a family member, we hope this gallery helps you understand what modern implant dentistry looks like in practice.
What Are Dental Implants?
Dental implants are titanium posts that are surgically placed into the jawbone where a tooth root once was. Over time, the implant fuses with the surrounding bone in a process called osseointegration. Once healed, the implant supports a crown, bridge, or denture prosthetic. The result is a stable, functional replacement tooth that looks and behaves much like a natural one. Implants are widely considered the most advanced option for long-term tooth replacement.
All-on-4: Full-Arch Implant Restoration
All-on-4 is designed for patients who have lost most or all of their teeth in one or both dental arches. Rather than placing an individual implant for every missing tooth, All-on-4 uses four strategically angled implants as anchor points for a complete arch of replacement teeth. The cases in our gallery illustrate the different clinical stages of this approach — from implant placement and healing to the final restoration. Dr. Angad Singh Virk, DMD, is certified in dental implant placement and has experience with complex full-arch restorations at our Citrus Heights office.
Fixed Implant-Supported Dentures
Unlike traditional removable dentures, implant-supported fixed dentures are anchored to dental implants and remain in place at all times. Patients often find that fixed implant dentures provide better stability, a more natural chewing experience, and greater confidence compared to removable alternatives. The cases shown in our gallery demonstrate how implant-supported dentures are structured and how the prosthetic integrates with the implant posts. If you have questions about whether fixed implant dentures are appropriate for your situation, our team is available to provide a consultation and thorough evaluation.
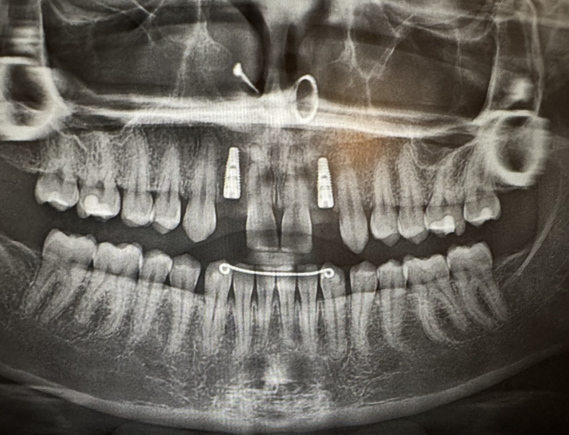
Radiographic Case Documentation
Dental X-rays (radiographs) are an important part of implant planning and documentation. The X-ray cases in our gallery show implant posts within the jawbone, the surrounding bone structure, and the spatial relationship between implants and adjacent teeth. Radiographic images help our clinical team confirm proper implant positioning, bone integration, and the suitability of the site for restoration. We use modern digital imaging at our Citrus Heights practice to minimize radiation exposure while providing detailed diagnostic information.
Serving Citrus Heights, Sacramento & Surrounding Communities
Aura Dental Care is located at 6024 San Juan Avenue Suite A in Citrus Heights, CA 95610. We welcome patients from Citrus Heights, Sacramento, Roseville, Antelope, Fair Oaks, Folsom, Orangevale, Carmichael, and Rancho Cordova. Dr. Virk and our team provide comprehensive implant consultations, including examination, digital X-rays, and a full discussion of treatment options and associated costs — all before any procedure begins. We accept most major dental insurance plans and offer payment plan options through Cherry Financing for patients who qualify. Learn more about dental implants at Aura Dental Care.
Schedule a Dental Implant Consultation
If you are considering dental implants, All-on-4, or implant-supported dentures, the first step is a consultation with our team. During this appointment, we evaluate your bone density, gum health, and overall oral condition to determine which implant options are best suited for you. There is no obligation to proceed, and we encourage you to bring any questions you have about the process, timeline, and cost. Call our office at 916-293-5681 or book online through ZocDoc at your convenience.










